アンカースクリューをご存知でしょうか?
2025.11.22

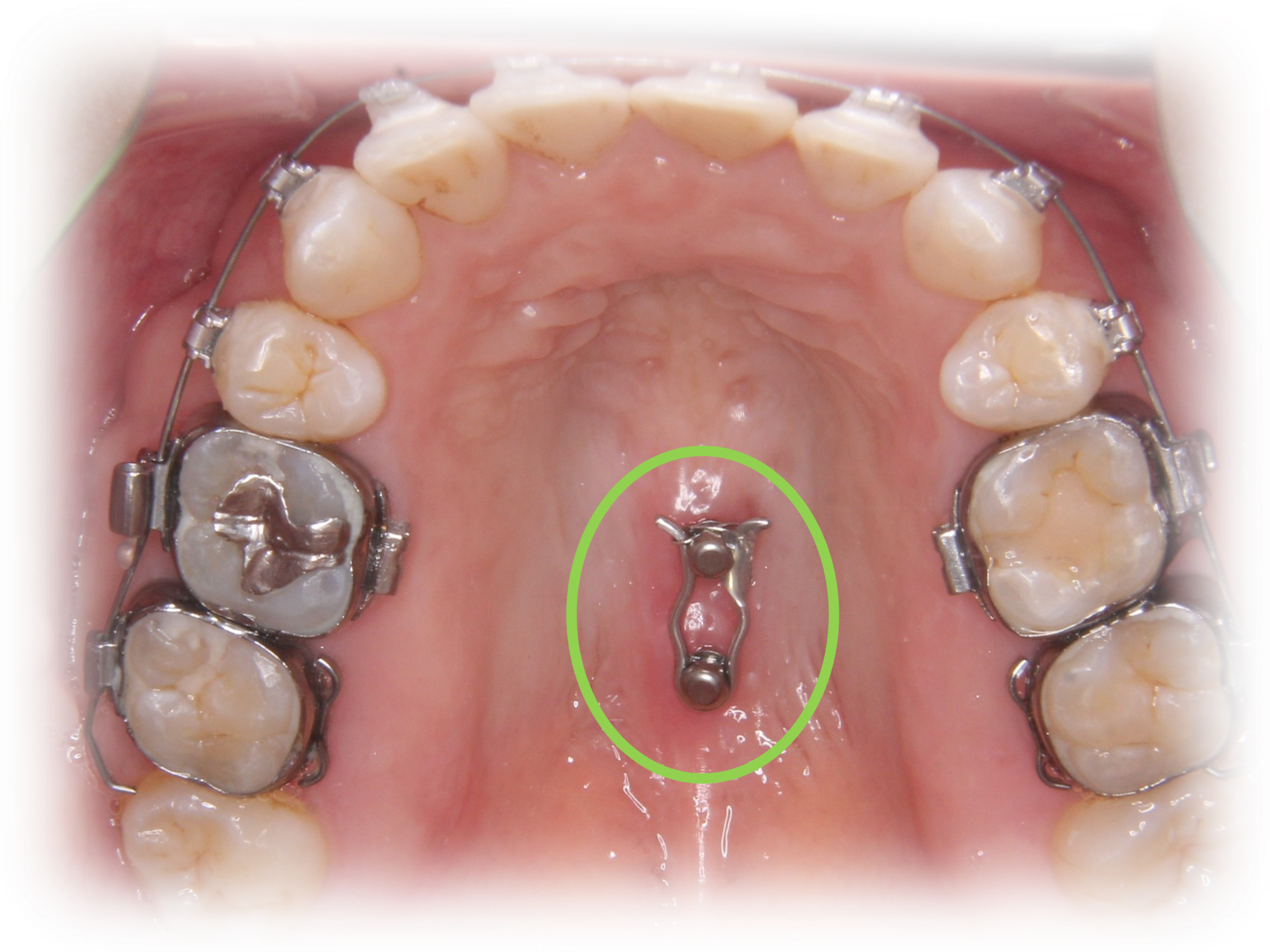
矯正治療の装置で「アンカースクリュー」というものを聞いたことはありますか?
これは、矯正治療をサポートしてくれる小さな頼れる味方なんです。
歯を効率よく動かすために、一時的に歯茎などに小さなネジ「アンカースクリュー」を装着する場合があります。
アンカースクリューの特徴
大きさは直径1.4〜2mm、長さ6〜10mm程でチタン合金という体に優しい素材を使用しています。
治療の流れ
麻酔をした後、スクリューを入れます。
1本入れるのはわずか5分ほどです。スクリューが安定するまで2週程度は安静にしておきます。
なぜ必要なのか
・従来の矯正治療で用いられたヘッドギア (口の外から装着する装置)などの大がかりな補助装置が不要になります。
・安定した固定源があるため、計画通りの歯の動きが期待でき、治療の精度が高まります。
・難しい症例にも対応可能(ガミースマイル、出っ歯の改善、奥歯を後ろに移動するなど)です。
スクリューのお手入れについて
スクリュー埋入部位を不衛生にすると、感染により歯茎の腫れ等がおこる場合があります。
装着から2週間後を目安にタフトブラシや、お渡しするうがい薬を使ってアンカースクリューの周囲を清潔に保っていただくことがとても大切です。

スクリュー十分に注意をしていても、骨の状態や、感染等によりスクリューが緩んだり、外れることがあります。
その場合には再度埋入する必要があります。万が一ぐらついたり、取れてしまった場合はお早めにご連絡ください。
福山市春日町
アイビー矯正歯科